消除麻风危害,共筑健康中国
2026年1月25日是第73届“世界防治麻风病日”暨第39届“中国麻风节”,主题是“消除麻风危害,共筑健康中国”,旨在坚持党的领导,坚持部门协作、社会动员、全民参与,推进全面消除麻风危害、促进麻风防治可持续发展,持续提高居民健康素养,切实保障人民群众身体健康,共同筑牢健康中国屏障。在世界防治麻风病日到来之际,让我们学习麻风病健康知识,增强对麻风病的科学认识,消除麻风危害,共筑健康中国。请听北京热带医学研究所主任技师温艳、助理研究员刘健进行科普讲解。
什么是麻风病?
麻风病是由麻风杆菌引起的一种慢性传染性疾病,是我国法定的丙类传染病之一,麻风病主要侵犯人体的皮肤和外周神经。如不早发现、早治疗,可造成眼、手、足的畸残。麻风病主要通过飞沫和密切接触传播。麻风属于皮肤科的一个分支,是一种皮肤病。

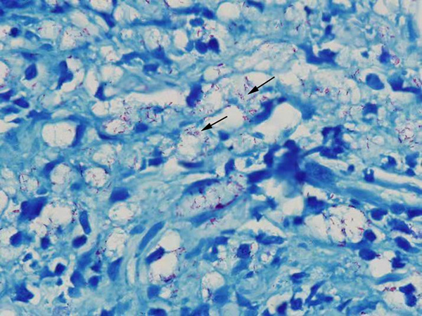
麻风患者皮肤组织病理抗酸染色图片(1000X),图中红色的菌团就是麻风菌
麻风病具体有哪些症状?
麻风病的主要症状分皮肤及周围神经两方面:
在皮肤方面的表现:一般是先在面部、四肢或躯干发生一块或几块圆形的红斑或淡红色斑,像“癣”而不痒,红斑麻木且不出汗。有的患者整个面部可发生弥漫性潮红,似“酒醉”样,眉毛可脱落,甚至脱光。
神经方面的损害:表现为受侵犯神经的粗大、疼痛等,手、足皮肤麻木,浅感觉丧失(失去触觉、痛觉、温度觉)进而发生手指变曲及足垂、嘴歪等。

麻风病患者的手
麻风病诊断金标准
麻风病诊断包括临床检查和实验室检查。临床检查包括检查麻木、斑块、神经粗大等等,实验室检查包括皮肤切刮组织液检查,病理检查,此外还有抗体、T细胞检查和PCR等。抗酸染色后在显微镜下看到完整的红色杆菌是麻风病诊断的金标准。

麻风特异抗体快速检测试纸条
麻风病的治疗
麻风病是完全能治好的。早期规范治疗可完全治愈麻风病,早诊早治可避免畸形,只要服1周药后,基本上就失去传染性,治疗半年或1年即可完成疗程并治愈。麻风患者可以在门诊或自家接受全程规则的“联合化疗”,治疗期间不需隔离,可以边治疗、边工作、边学习。
麻风病一般是不需要隔离治疗的,其治疗是一个长期的过程,有以下注意事项:
1、规范治疗:麻风病治疗需要长期坚持,患者需要按照医生的指导,按时服药,不能自行停药或更改药物剂量。
2、定期随访:患者需要定期到医院进行随访,以便医生了解病情变化,及时调整治疗方案。
3、注意皮肤护理:麻风病可能导致皮肤干燥、脱屑等问题,患者需要注意皮肤护理,保持皮肤清洁,避免皮肤感染。
4、预防并发症:麻风病可能导致神经损伤、关节病变等并发症,患者需要注意预防并发症的发生,如有不适及时就医。
5、避免传染:麻风病是一种传染病,患者需要注意个人卫生,避免与他人共用餐具、毛巾等物品,以免传染给他人。
6、心理支持:麻风病治疗过程可能较长,患者可能会面临心理压力,需要家人和社会的支持,保持积极的心态。
7、注意饮食:患者需要注意饮食,保持营养均衡,避免食用刺激性食物,如辛辣、油腻等。
8、避免过度劳累:患者需要注意休息,避免过度劳累,以免影响病情恢复。

麻风病治疗药物
麻风病的残疾率高么?
麻风病潜伏期很长,在治疗过程中还常发生麻风反应,这些都易发生神经损伤。根据发病的年龄和病型,残疾率还是比较高,但比之前低了很多。发病越年轻,菌越多,越容易残疾。还有少菌麻风、纯神经炎麻风以及对麻风患者的歧视,对早期疾病诊断都是一种挑战。
如何预防麻风病?
目前尚无有效的疫苗可以预防麻风病。早发现、早诊断、早治疗,是控制传染、预防畸残,保护健康人群的最好办法,主要包括以下几点:
1、密切接触活动性麻风病患者时戴口罩;
2、接触后洗手,注意个人卫生;
3、加强营养、锻炼身体,提高机体抵抗力。
此外,大家常关心出国旅游需要怎样来预防麻风病,其实不必紧张。因为麻风病是一个慢性传染性疾病,正常人有足够的免疫,不容易被感染,因此不需要采取什么特别的措施来预防。
怀疑自己患了麻风病怎么办?
首先不要有顾虑,麻风病目前已经完全可以治愈,越早治疗效果越好,没有任何后遗症。麻风病一般不致命,但会损害神经且不可逆,因此要早诊早治。麻风病免费诊治,在北京可以来友谊医院就诊,在其他地区可以联系当地疾病控制中心或者综合性医院皮肤科。麻风病专科医生会根据您的病情分析,包括临床和实验室检查,进行诊断。
北京热带医学研究所是中国成立最早、北方地区唯一的热带医学研究所,创建于1978年,首任所长为我国著名热带病专家、北京友谊医院首任院长、钟惠澜院士,老一辈革命家、领导人叶剑英亲笔为研究所提名。
热研所内设寄生虫病研究室、麻风病研究室、微生物研究室、临床部和临检中心5个科室。

热带病包括各种寄生虫病、麻风病、免疫功能低下患者的机会性感染、少见、罕见的感染性疾病以及某些新发现的感染性疾病。世界卫生组织重点研究的6大热带病有疟疾、血吸虫病、丝虫病、锥虫病、利什曼病、麻风病。这些疾病广泛分布于热带、亚热带及温带地区。
麻风病研究室是世界著名麻风病防治专家李桓英教授亲手创办的,数十年来,热研所承担我市麻风病防治工作。我院顺义院区每周三下午有麻风病专科门诊,麻风病患者可以在该时间前来就诊。
作者介绍

北京热带医学研究所:助理研究员
刘健
出诊地点:顺义院区
出诊时间:周三下午
专长:麻风病的诊断,治疗,并发症,康复,Mogilis disease(疑病症),疟疾,儿童寄生虫病,各种热带病。

北京热带医学研究所:主任技师
温艳
专长:擅长将免疫学、分子生物学先进实验室技术应用于麻风病的早期诊断。曾获北京市科技进步奖5项。
- 标签:
上一篇: 吃完“垃圾食品”有“解药”?专家提示:或对身体造成二次伤害
下一篇: 大寒节气 顺应自然 温暖过冬

